Nowoczesna Endodoncja

Minimalna interwencja podczas leczenia i oszczędność tkanek zębów to dzisiaj przyszłość stomatologii, która zmniejsza ilość ekstrakcji zębów na korzyść leczenia endodontycznego. Bardzo ważne by szły ze sobą w parze zarówno zaplecze technologiczne gabinetu stomatologicznego (odpowiedni specjalistyczny sprzęt w postaci mikroskopu, ciepłej gutaperki, narzędzi ultradźwiękowych itp.), jak również doświadczenie Lekarza Stomatologa specjalisty Endodoncji. Dzięki zastosowaniu nowoczesnej metody leczenie kanałów zębowych jest niezwykle szybkie i skuteczne. Ponadto w przypadku endodoncji mamy do czynienia z zapewnieniem pacjentowi jak najwyższego komfortu podczas wizyty.
Czym jest endodoncja?
Endodoncja to inaczej leczenie endodontyczne lub kanałowe. Należy do najczęściej wykonywanych zabiegów stomatologicznych. Ze względu na ogromny postęp stomatologiczny, zabieg endodontyczny jest niemal bezbolesny i odbywa się pod znieczuleniem miejscowym przy użyciu specjalnych mikroskopów. Najczęściej przeprowadza się go w przypadku infekcji miazgi, która powstaje przy zaawansowanej próchnicy, ale również w przypadku urazu zęba lub obecności torbieli.
Zabieg endodoncji w Dental White
Leczenie kanałowe endodontyczne, czyli kanałowe leczenie pod mikroskopem, polega na dokładnym oczyszczeniu i opracowaniu systemu kanałowego sposobem chemiczno-mechanicznym, a następnie jego szczelnym wypełnieniu. Najnowsze osiągnięcia techniki i wprawna ręka endodonty pozwala w większości przypadków na przeprowadzenie i zakończenie leczenia kanałowego na jednej wizycie, bez konieczności dewitalizacji zęba. Leczenie endodontyczne odbywa się przy użyciu znieczulenia miejscowego, które wystarczy, by zapewnić bezpieczeństwo zabiegu i komfort pacjentowi. Do leczenia stosuje się koferdam. Jest to specjalna gumowa nakładka izolująca ząb od śliny i bakterii. Dzięki niemu do gardła nic się nie dostaje, pacjent może przełykać ślinę i jest wyższa skuteczność leczenia. W Dental White korzystamy z najnowocześniejszego sprzętu, dlatego zabieg endodontyczny przebiega szybko, sprawnie i bezpiecznie.
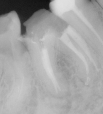
PRZYKŁADY LECZENIA KANAŁOWEGO WYKONANEGO PRZEZ NASZ ZESPÓŁ
Kiedy należy rozpocząć leczenie kanałowe?
Leczenie kanałowe staje się konieczne w przypadku zaatakowania próchnicą miazgi zęba, czyli tkanki wypełniającej jego wnętrze, która złożona jest z naczyń krwionośnych i limfatycznych oraz włókien nerwowych. W niektórych przypadkach zdarza się, że ząb nie daje dolegliwości bólowych, a jednak dochodzi w jego obrębie do nieodwracalnej bakteryjnej infekcji miazgi. W większości przypadków pacjenci wymagający leczenia kanałowego skarżą się jednak na dotkliwy ból chorych zębów. Leczenie endodontyczne jest konieczne także w niektórych przypadkach urazu zęba. Ten sposób leczenia wykorzystywany jest też czasem ze wskazań protetycznych. Zainfekowana miazga zębowa oraz występujące w niej patologiczne zmiany widoczne są niekiedy na zdjęciu radiologicznym, które wykonuje się przed zabiegiem. Dokładne oczyszczenie, chemo-mechaniczne opracowanie kanału zębowego oraz jego szczelne wypełnienie, do czego wykorzystuje się właśnie leczenie kanałowe z użyciem specjalistycznego mikroskopu, w znakomitej większości przypadków prowadzi do remisji zmian i regeneracji kości.

Przykłady odstępstw anatomicznych kanałów zębowych
Czy leczenie kanałowe boli?
Dynamiczny postęp w stomatologii, zwany także nowoczesną endodoncją, pozwala na wykorzystywanie nowoczesnych sprzętów, co przekłada się na zwiększenie wygody pacjenta i sprawne przeprowadzenie leczenia. Zabieg endodontyczny przeprowadzany jest przy użyciu znieczulenia miejscowego. Dzięki temu jest on bezpieczny i komfortowy. Należy podkreślić, że im szybciej zgłosimy się z problemem do endodonty, tym sprawniej i bardziej komfortowo przebiegnie zabieg endodontyczny.
Ile trwa leczenie kanałowe?
Metoda leczenia kanałowego dobierana jest w zależności od stopnia zaawansowania zapalenia. Konieczne jest wykonanie RTG w celu określenia kształtu, długości kanału oraz rozmiaru infekcji. Następnie wykonywane jest znieczulenie miejscowe, otwarcie komory zęba, usunięcie chorej miazgi, oczyszczenie, przepłukanie i wysuszenie kanału. Ostatni etap to wypełnienie kanału odpowiednimi materiałami dentystycznymi. Postęp w stomatologii pozwala na zakończenie leczenia nawet na jednej wizycie.
Ile kosztuje leczenie kanałowe?
Koszty leczenie kanałowego uzależnione są od dwóch czynników. Przede wszystkim bierzemy pod uwagę fakt czy leczenie jest przeprowadzane po raz pierwszy czy powtórnie. Przy pierwotnym leczeniu kanałowym łatwiej jest oczyścić system korzeniowy niż przy leczeniu powtórnym, kiedy to należy usunąć stary materiał z kanału. Dodatkowo przy powtórnym leczeniu kanałowym dochodzi do szerszego opracowania tkanek zęba, co wpływa na jego wytrzymałość. Jeśli widzimy, że ząb jest bardzo „wydrążony” przez leczenie kanałowe, to niekiedy odstępujemy od jego leczenia ze względu na słabe rokowanie.
Koszty leczenia kanałowego są ponadto zależne od liczby kanałów w zębie. Statystycznie zęby od jedynki do trójki oraz piątki mają najczęściej 1 kanał, czwórki górne mają 2 kanały, zaś czwórki dolne zazwyczaj 1. Zęby trzonowe czyli szóstki i siódemki mają po 3 lub 4 kanały. Zdarzają się nawet zęby w których występuje 5 lub 6 kanałów. Zęby mądrości, czyli ósemki bardzo rzadko są leczone kanałowo, ze względu na dużą zmienność anatomiczną. Wszystkie te czynniki mają wpływ na to ile kosztuje leczenie kanałowe.
Dokładną informację ile kosztuje leczenie kanałowe znajdą Państwo w naszym cenniku.
Sprawdź również!
