Re-endo, czyli powtórne leczenie kanałowe
Niekiedy ząb, który już był leczony kanałowo wymaga ponownego zabiegu endodontycznego. Dzieje się tak na przykład w sytuacji, kiedy materiał w kanale uległ resorbcji lub wypełnienie w zębie uległo rozszczelnieniu i system kanałowy uległ zakażeniu. Po wykonaniu zdjęcia radiologicznego, Endodonta wyklucza lub stwierdza konieczność ponownego przeleczenia kanałów zębowych.  Powtórne leczenie endodontyczne przy użyciu mikroskopu, może być również konieczne w przypadku niepełnego leczenia pierwotnego i rozwoju zmian patologicznych w obrębie korzeni zęba. Leczenie to jest bardziej skomplikowane od pierwotnego i wymaga od lekarza doświadczenia i biegłej umiejętności stosowania nowoczesnego sprzętu.
PRZYKŁADY LECZENIA KANAŁOWEGO WYKONANEGO PRZEZ NASZ ZESPÓŁ
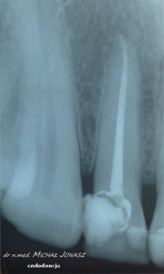
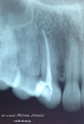
Zmiany okołowierzchołkowe
Zmiany okołowierzchołkowe to ogniska zniszczenia kości wokół wierzchołków korzeni zębów. Przewlekłe, nieleczone zmiany zapalne w obrębie korzeni zęba mogą powodować duże uszkodzenia kości i skutkować utratą zębów. Reendo polega na usunięciu materiału, którym wypełnione są kanały i zlokalizowaniu nieprawidłowości, czyli niedostatecznie oczyszczonego lub wypełnionego kanału albo pozostawionego, złamanego narzędzia w jego świetle. Dzięki mikroskopowi problemy anatomiczne, takie jak wąskie, zarośnięte kanały, zakrzywione korzenie, boczne, nietypowe odnogi są możliwe do wyeliminowania.
Bez kontroli mikroskopu nie ma dzisiaj współczesnej Stomatologii. Znacznie zwiększa on szanse na prawidłowe przeleczenie zęba oraz uniknięcie komplikacji. Korzystając z mikroskopu endodontycznego mamy pewność, że leczenie zostało wykonane prawidłowo i pacjent nie wróci do nas z jeszcze bardziej skomplikowanym problemem.
Diagnostyka obrazowa i wprawne oko Stomatologa są podstawą do podjęcia powtórnego leczenia kanałowego. Wychwycenie zmian patologicznych kierujących na powtórne leczenie kanałowe często jest efektem wnikliwej analizy zdjęć RTG. Powtórnego leczenia kanałowego wymagają zęby, których kanały korzeniowe nie zostały prawidłowo wypełnione. Im dłuższy czas upływa od zakończenia pierwotnego leczenia kanałowego, tym mniejsza szansa, że ząb da o sobie ponownie znać. Nieprawidłowo przeleczony kanałowo ząb, to potencjalnie ogromne ryzyko dla pacjenta. Ząb źle leczony kanałowo przypomina o sobie po wielu latach, bądź w postaci dolegliwości bólowych, bądź przez wolno, bezobjawowo rozwijającą się torbiel. Wytworzenie się torbieli wymaga już interwencji z zakresu chirurgii stomatologicznej. W takiej sytuacji po leczeniu powtórnym pacjent jest kierowany do chirurga na zabieg wyłuszczenia torbieli.
Na zdjęciu RTG efekt leczenia endodontycznego można ocenić po 3 – 6 miesiącach. Każde kanałowe leczenie należy systematycznie kontrolować poprzez wykonywanie rutynowych zdjęć radiologicznych, tak by zawczasu uniknąć nieprzyjemnych problemów.
Ile kosztuje leczenie kanałowe?
Koszty leczenie kanałowego uzależnione są od dwóch czynników. Przede wszystkim bierzemy pod uwagę fakt czy leczenie jest przeprowadzane po raz pierwszy czy powtórnie. Przy pierwotnym leczeniu kanałowym łatwiej jest oczyścić system korzeniowy niż przy leczeniu powtórnym, kiedy to należy usunąć stary materiał z kanału. Dodatkowo przy powtórnym leczeniu kanałowym dochodzi do szerszego opracowania tkanek zęba, co wpływa na jego wytrzymałość. Jeśli widzimy, że ząb jest bardzo „wydrążony” przez leczenie kanałowe, to niekiedy odstępujemy od jego leczenia ze względu na słabe rokowanie.
Koszty leczenia kanałowego są ponadto zależne od liczby kanałów w zębie. Statystycznie zęby od jedynki do trójki oraz piątki mają najczęściej 1 kanał, czwórki górne mają 2 kanały, zaś czwórki dolne zazwyczaj 1. Zęby trzonowe czyli szóstki i siódemki mają po 3 lub 4 kanały. Zdarzają się nawet zęby w których występuje 5 lub 6 kanałów. Zęby mądrości, czyli ósemki bardzo rzadko są leczone kanałowo, ze względu na dużą zmienność anatomiczną. Wszystkie te czynniki mają wpływ na to ile kosztuje leczenie kanałowe.
Dokładną informację ile kosztuje leczenie kanałowe znajdą Państwo w naszym cenniku.
Sprawdź również!
